智齒拔除手術與困難拔牙
桃園拔智齒診所|康喬口腔外科-桃園拔智齒推薦
Ⅰ.智齒手術
智齒要不要拔?智齒不會痛要不要拔?
智齒是我們的第三顆大臼齒,上下左右共四顆。這顆牙齒是最後一顆長出來的牙齒,一般大概要18到20歲才會冒出來。在人類的演化過程中,智齒是退化中的牙齒,現代人已經不需要這第三顆大臼齒來吃東西。許多走在演化前面的人都已經先天就沒有這顆牙齒。也因為他是最後才長的牙齒,所以常常沒有足夠的空 間給他長,往往位置都很後面,甚至是倒的或水平的卡著。這些沒有好好冒出來的智齒容易堆積食物,食物在咀嚼時被擠到智齒和牙肉間或智齒和前一顆牙齒隙縫中,一旦擠進去後就出不來,留在隙縫中的食物 腐敗造成牙肉發炎,感染,蜂窩組織炎,甚至是前一顆第二大臼齒的牙根蛀牙,而牙根蛀牙大部份是無法修復必須拔牙的。為了一顆沒有功能的牙齒把重要的第二大臼齒搞到這種地步實在是不值得。所以牙醫師如果看到這樣的智齒,往往會建議病人儘早拔除智齒,以免得不償失。
有不少人疑惑,我的智齒不會痛,要不要拔?其實要看情況,有些智齒雖然不會痛,但是因為位置很後面,刷不乾淨,也許目前牙齒都沒問題,或已經造成蛀牙或牙齦發炎,雖然這些情況暫時不一定會痛,可是將來出問題的機會很大,醫師就會建議在年輕的時候儘早拿掉智齒,畢竟年輕人身體好,骨頭又比較有彈性,牙齒比較好拔。還有一個情況是接受矯正的病人,智齒有時候會影響矯正的進行,這時矯正醫師就會建議拿掉智齒。
那麼是不是有不必拔的智齒呢?有的,
- 如果智齒正正當當的長出來,又有對咬咬合,也刷得乾淨,那麼或許就可以不必拔<這顆智齒。
- 超過45歲,這輩子智齒從來沒有智齒不舒服經驗的人,智齒以後會痛的機會也比較少,可以先不用拔。
- 智齒水平橫躺在骨頭的深處,因為夠深與口腔沒有交通,食物不會滲入,也沒有症狀不會痛。拔牙風險又高,那麼這類智齒也許醫師也不會建議拔牙。
不過這些沒有長出來的智齒,它的齒源性上皮隨著時間還是有少數(1%)的機會會有病理變化,長出齒源性的囊腫或良性腫瘤,如果發生有可能非常棘手。這也是想把智齒留下來時需要考量的一點。因為發生這種病理變化的機會是隨著年紀遞減,所以如果是年輕人看到有智齒,醫師比較會積極建議拔除,超過45歲後病理變化機會少,就不需要擔心這件事。
智齒怎麼拔?會痛嗎?
長正的智齒要拔牙其實跟一般牙齒沒有太大不一樣,不過橫躺的水平智齒因為卡住了,沒有辦法直接出來,所以需要比較不一樣的拔法。現在比較接受的拔法是將牙齦切開,露出牙齒,然後用馬達手機將牙齒分成幾塊拿出來,再將切開的牙齦縫合(牙齒本身的洞會留下來,不會縫合)。上麻藥打針時會痛,拔牙時不會痛,但會有緊緊的感覺。有些人在拔完智齒後會腫,甚至 瘀血,這些都算正常,其實就跟腳扭到腫起來是一樣的,冰敷三天後會漸漸消腫,如果有腫大概腫一個星期。至於大家最關心的,術後會不會痛,那就真的因人而異,每個人對痛的敏感程度不相同。以我們幫那麼多病人拔牙的經驗看來,同樣的拔牙方式,病人術後從不會痛到很痛,從沒痛到到痛一個星期以上都有。不過大部份的情況都是前一兩天會痛,吃止痛藥後可以改善。
除了健保給付的項目,還有什麼寶物可以招喚來讓我們的智齒手術更輕鬆愉快呢?
Q : 想拔智齒但是很害怕,怎麼辦?
A : 以往在台灣牙科治療都是局部麻醉在做,醫師都要病人勇敢忍一下忍一下,現在大家生活水準進步,醫療科技也在進步,對於受夠了忍耐的病人,我們有舒眠麻醉的新方式,讓病人拔智齒的經驗只剩下睡一覺醒來就好了的輕鬆愉快。Q : 有沒有什麼東西可以幫助傷口癒合?
A : 有的,骨膠原纖維傷口敷料(Teruplug)放在傷口中可以讓傷口有更好的環境促進癒合。Ⅱ.臨床上智齒會造成的各種問題 :

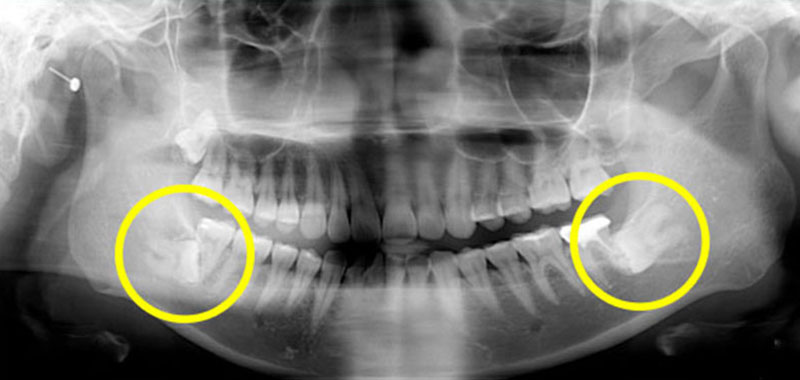
兩側下顎深埋在骨頭裡的水平智齒,右邊上顎智齒也深埋在骨頭內長不出來!這樣的智齒如果沒有症狀不一定要拔

右邊下顎埋在骨頭內的智齒

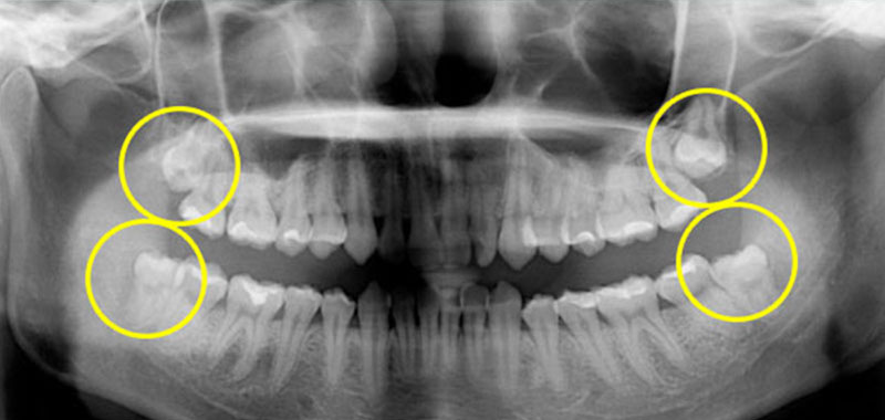
上下左右四顆智齒都卡住長不出來

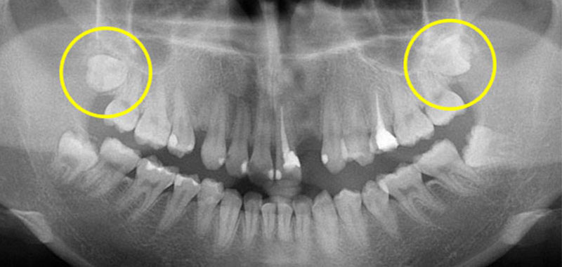
高高卡在上顎的智齒,這樣的智齒如果沒有症狀不一定要拔

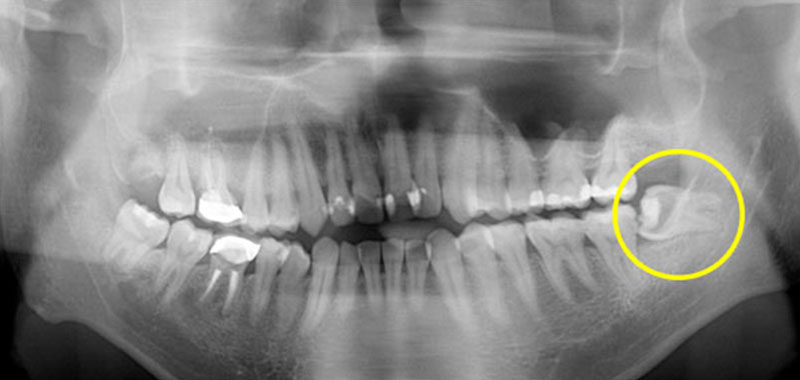
左邊下面的水平阻生智齒蛀牙(黑色的部分就是被蛀牙掏空的齒質)

左下智齒,雖然是長正的,但因為太後面無法刷到,所以蛀牙了...
左下水平阻生智齒因為塞食物無法清潔造成前面的第二大臼齒牙周病。黑色部分即為被破壞掏空個牙周組織。
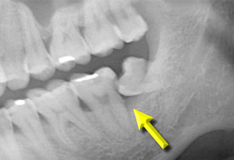
智齒不只造成牙周病,同一顆智齒也造成鄰接的第二大臼齒蛀牙,箭頭指的黑色部分就是被蛀空的牙齒。

左下顎水平智齒造成前面的第二大臼齒牙根蛀牙和牙周病,前面的第二大臼齒牙根蛀牙往往沒辦法填補,嚴重的需要拔牙。


左下水平阻生智齒,造成鄰牙嚴重的牙周病和蛀牙,牙周病甚至進展到第一大臼齒,到這樣的程度,不但智齒 ,連第一大臼齒,第二大臼齒都沒辦法留,需要拔牙,實在得不償失。